0799 009 390
   
 
Maior Giurăscu nr.3, Câmpulung, Argeș
Acasă
Despre noi
Clinică
Tehnologii
Echipă
Servicii
Radiologie dentară și ORL
Odontoterapie
Endodonție
Protetică
Chirurgie și Implantologie
Parodontologie
Pedodonție
Ortodonție
Zâmbete
Contact
Vreau programare
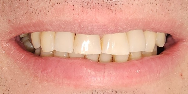
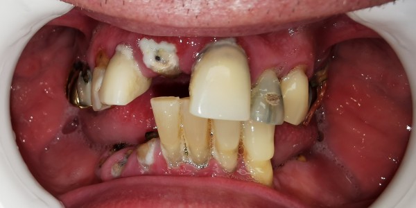
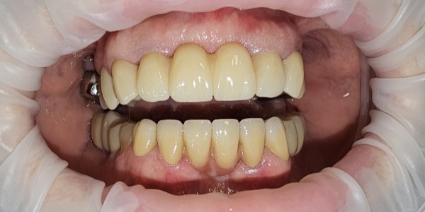
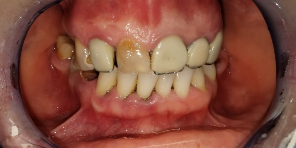
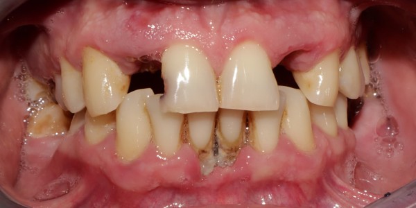
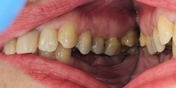
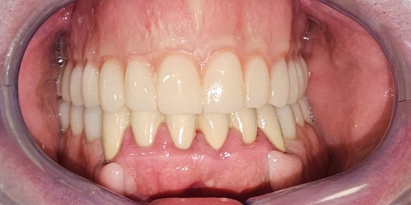
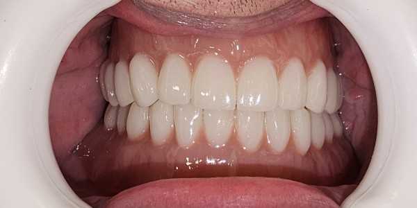
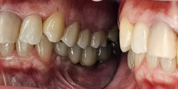
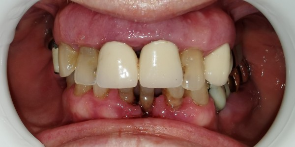
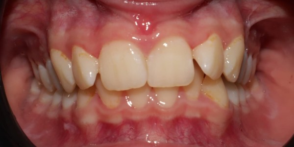
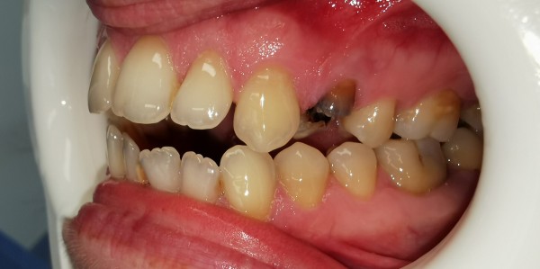
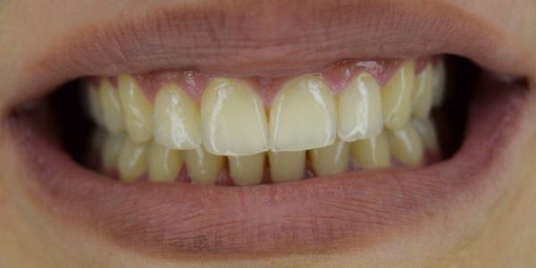
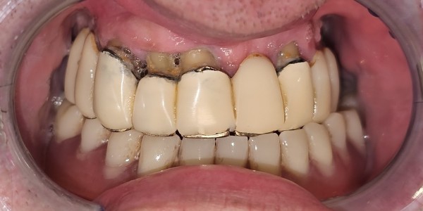
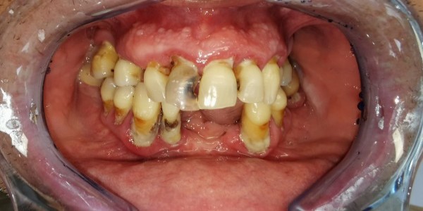
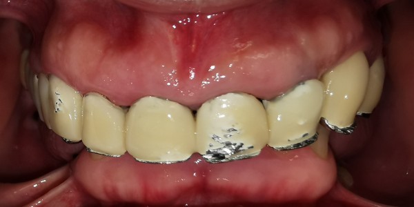
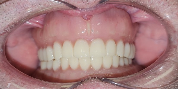
Caz 1
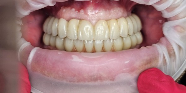
Caz 2
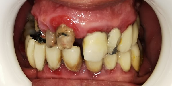
Caz 3
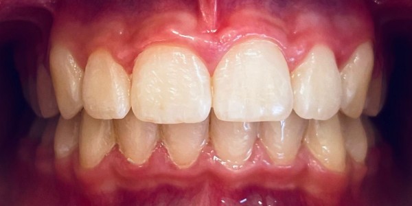
Caz 4
Caz 5
Caz 6
Caz 7
Caz 8
Caz 9
Caz 10
Caz 11
Caz 12
Caz 13
Caz 14